皮膚に黒色の腫瘍が発生した2羽のウサギの治療を経験しました。
同じ様な形態の腫瘍でしたが、この2羽の予後が大きく違いました。
症例1: ロップイヤー(白黒) 避妊メス 7歳 BW2.25kg トロ
主訴・・・3ヶ月前に耳の先端に黒い腫瘤ができた。 徐々に大きくなってきた。
本人は気にしていない。
症例2: ネザーランドドワーフ(グレー) オス 8歳8カ月 BW1.6kg ブー
主訴・・・1ヶ月前に右肩に黒い腫瘤ができた。徐々に大きくなってきた。
症例1、症例2とも相談の結果、切除手術を行いました。
症例1: トロ

トロは白黒の模様をしたロップイヤー腫でいわゆるパンダうさぎです。
食欲、元気ありで一般状態は良好でした。
手術前の血液検査での数値もほぼ正常範囲内でした。

右耳の辺縁にできた腫瘤です。
黒い毛の部分にできた腫瘤で、黒色の
ドーム状の腫瘤です。

腫瘤の周囲の血管は
正常に比べ拡張し、豊富に発達(腫瘤の栄養血管?)
しています。

手術は腫瘤周囲の耳介を切開し
切除することとしました。

出血をコントロールする目的で
腸鉗子で耳介周囲を鉗圧しました。

外科鋏で一気に切り離し、切除されました。

切開部は吸収性縫合糸(オペポリックス)で細かいピッチで
連続縫合を行いました。

手術が終わって覚醒を待つ間のトロちゃんです。
覚醒は順調でした。

切除腫瘤です。
真っ黒な腫瘤でメラニン色素が豊富な
腫瘤と考えられました。
犬や猫ではこのような外観の腫瘤はメラノーマを
疑います。
しかし、ウサギでのメラノーマの記載は資料としてあまりありません。

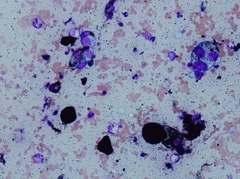
病院で作成したスタンプ標本では
細胞内に3つの核を有する異型細胞がみられました。
また黒色の大小様々なメラニン顆粒?が豊富に存在しています。
切除腫瘤は組織診断の為に病理検査センターに送り、
結果を待つことにしました。
症例2: ブー

ブーちゃんは8歳8カ月、
全身麻酔の心配を飼主のYさんはとても
心配しましたが、術前にレントゲン、血液検査を行い
異常が見られなかったので手術に踏み切りました。

症例1と同様、毛色に近い濃灰色で
ドーム状の腫瘤です。
FNAでは単核の軽度大小不同のある
細胞塊が採取されました。

手術は常法どおりに
腫瘤周囲の正常皮膚を切開し、
摘出します。

この腫瘤の周囲は
症例1にように豊富な栄養血管は
見られず、出血も殆どなく摘出できました。

切除された腫瘤です。
ブーちゃんは
高齢にも拘らず、覚醒も順調でした。
この腫瘤も組織病理検査を実施しました。
さて、外観、大きさの良く似ている両者の結果はどうだったのでしょう?
症例1の結果:
診断 : 悪性黒色腫
所見・・・腫瘤表層には広範に潰瘍化ないし痂皮形成を認める。その直下から深部組織にかけて、浸潤性に増大する境界不明瞭な腫瘍性病変が認められる。(ただし、耳介軟骨の破壊は伴わない。)腫瘍巣では、重度の異型性及び多形性を示す非上皮性腫瘍細胞が束状、指紋状、花むしろ状および敷石状に増殖する。
腫瘍細胞の大半は細胞質内にメラニン色素顆粒を豊富に有するが、一部では同顆粒に乏しい。また、核は大小不同の楕円形~類円形を呈し、数個の明瞭な小型核小体を入れる。核分裂像は散見される。腫瘍巣周囲にはリンパ球が軽度に浸潤する。標本上、腫瘍の明らかな脈管内進展像は認められず、マージンは確保されている。
コメント・・・メラニン色素賛成細胞に由来する悪性腫瘍です。比較的文化度は高く、今回の手術で撮り切れているように見えますが、再発、転移には十分注意してください。
症例2の結果:
診断: 毛芽腫(もうがしゅ)
所見・・・真皮において、非浸潤性に増大する境界明瞭な腫瘍性病変が認められる。腫瘍巣では、基底細胞に類似する上皮性腫瘍細胞が、索状、乳頭状およびリボン状に増殖する。間質には軽度の線維増生を伴う。同腫瘍細胞の異型度は低く、核分裂像も少ない。標本上、腫瘍内進展像は認められず、マージンは十分にj確保されている。
コメント・・・毛芽に由来する良性腫瘍と判断されます。腫瘍は撮り切れているようですので、予後は良好でしょう。
症例1のトロちゃんはやはりメラノーマ(悪性黒色腫)でした。
ウサギのメラノーマについて、文献を調べたかぎり誌上報告は見当たりませんが
臨床現場では比較的良くみられる事が判りました。(当院では初めてでしたが)
再発、転移率は高く、予後は要注意、または不良とのことでした。(犬に類似?)
トロちゃんのその後・・・
1ヶ月後の検診で肺転移を確認しました。
また、身体の数か所に同様な腫瘤の転移も認められました。

肺野には、び慢性に無数の砲弾上の転移像が
見られました。

転移像は左右の肺に拡がっていました。

身体を触診してみると、
何か所に黒色の転移したと思われる腫瘍が
確認されました。
検診後は制癌作用を期待して、姫マツタケ
リキッドを飲んでもらうことにしました。
しかし、3週間後には呼吸が辛そうになり、
下半身が動かなくなりました。
その後、4日ほどして自宅で息を引き取りました。
[トロちゃんのご冥福を心よりお祈りいたします。]
毛芽腫だったブーちゃんは
数日後には抜糸をする予定です。
現在、とても元気にしています。
同様の腫瘍にも思える2羽のウサギの皮膚腫瘍でしたが
悪性度によって予後は大きく変わってしまいます。
今回のトロちゃんのケースでの経験は非常に勉強にもなりました。
学んだ知識と経験を今後のウサギの診療に
少しでも役立たせたいと思っています。

我が家のうさぎがトロちゃんによく似た真っ黒な腫瘍ができて、現在闘病中です。
肺に転移している可能性が高いとも、先生に言われました。
確かに、うちの子が撮っていただいたレントゲンと同じようにみえます。
白っぽい部分がいっぱいありますが、その部分のことでしょうか。
肺は、手術はできないといわれましたが、やはりトロちゃんも同様に
手術ができない状況だったということですかね。。。
「真っ黒な腫瘤でメラニン色素が豊富な腫瘤」というのは、
ブーちゃんのは灰色
トロちゃんのは黒色
という違いになりますでしょうか。
ほとんど、同じ症状のようにみえます。
現在、うちの子はステロイド剤を与えて、様子を見ているところです。
うちの子の症状で効果があるかどうかはわからないが、
ステロイド剤の投与で、進行が抑えられた腫瘍の事例があると、
現在通っている病院の先生が見つけてくださったので。
あと、姫マツタケも昨日からあげ始めました。
通院中の病院の先生のお話でも、うさぎの腫瘍に関する治療は、
あまり、わかっていないとのこと、
今の病院の先生に対して、不信感や不満があるわけではないです、
先生もうちの子のように進行が早い症例は初めてのようで、
最新の医療データなども、取り寄せて調べてくださったり
していただいているのですが、
自分でもなにかしないといられなくて・・・
私自身でもネットで色々探してみているのですが、
なかなか情報がみつからず、ここに行き着きました。
もし、よろしければ、なにか情報やアドバイスをいただければと、書き込みいたしました。