症例・・・M・ダックス オス 15歳 4.4kg ミッキー
プロフィール・・・生後3ヶ月齢から当院で混合ワクチン、フィラリア予防を定期実施
3歳8ヶ月齢時にてんかん発作初発。 断続的な抗てんかん剤内服
5歳7カ月齢時から抗てんかん剤継続内服し、現在に至る
6歳時 胸腰部椎間板ヘルニアで後躯不全麻痺・・・レーザー、内科治療により緩解
その後もレーザー、サブリメントを継続。
口腔内腫瘍の発生
H20.5月・・・左側下顎の歯肉部から腫瘤が発生し、急速に拡大してきた。

「老齢犬の下顎歯肉から急速に拡大してきた腫瘤と」いう背景から、悪性の腫瘍が疑われました。
写真を見ても、口腔からはみ出してちょっとグロテスクな様相を呈しています。
まずは腫瘤を切除して、病理組織検査結果を待ちました。

腫瘤切除は、全身麻酔下でCO2レーザーメスで実施しました。歯肉の腫瘤根と思われる部位は
できるだけレーザーによる蒸散をしました。

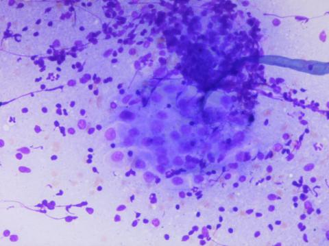
スタンプ標本では大小様々な豊富な細胞が採取できました。
好中球程の小型の細胞は、類円形ないし卵円形の編在核を有し、淡青染色の豊富な細胞質を有しています。
また、大型の核小体と粗大顆粒状のクロマチンを有する核をもち、淡青染性の豊富な細胞質を有する異型細胞集塊が写真の中央に見られます。

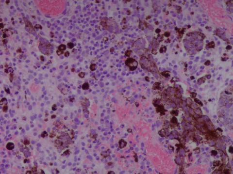
病理組織学的診断: 悪性黒色腫(Malignant Melanoma)= 悪性メラノーマ
概要: 悪性黒色腫の浸潤性増生が認められました。隆起部組織全体に及んで、クロマチン豊富な多形性異型核を有する腫瘍細胞がみられ、束状の配列を有する充実性シート状に密に増生しています。腫瘍細胞には、核分裂像が散見され、浸潤性に周囲組織へ拡がり、粘膜上皮層は脱落してびらんが形成されています。一部の腫瘍細胞の細胞質には、メラニン色素顆粒が見られますが、無色素性の部分も比較的多く認められる悪性黒色腫です。
腫瘍境界は、不規則、不明瞭で局所再発の可能性があります。
結果は最悪でした。
口腔メラノーマは殆どが悪性で、遠隔転移性も高い腫瘍です。局所切除を行わなかった場合の生存期間は約2ヶ月といわれています。
局所外科療法(拡大顎骨切除もしくは放射線治療)を実施しても生存期間は4~8ヵ月です。
実際に経験したいくつかの症例もすべて5ヶ月以内に息を引き取りました。
この事実を飼い主のO夫妻に告知することは辛い時間になりました。
O夫妻は説明を真摯に一生懸命聞いてくれました。
そして、出した答えは「自然に委ねる」という結論でした。
15歳という年齢、てんかんの治療、椎間板ヘルニアの治療など今でも継続している上に、これ以上、ミッキーに大きな負担をかけたくない、というのが理由でした。但し、今までの治療は続けたいとのことでした。
主治医としても十分納得ができる理由でした。0夫妻の答えを私も全面的に協力することを約束しました。
そして、その後・・・・・・
9ヶ月経過した現在、
悪性メラノーマは再発も、遠隔転移もしていないのです。
腫瘍切除は不十分でしたから、経験的に9割9分再発するものと考えていました。
本当にメラノーマなのか?
病理組織診断結果に疑問がわきました。
そこで、他社の病理検査機関に再度、検査を依頼することにしました。
先日、その答えが返ってきました。

病理組織診断名: 悪性黒色腫(Malignannt Melanoma)
送付標本の腫瘤内全体に紡錘形から不整形の異型細胞が増殖しており、表層の広い範囲に強い絵師と好中球主体の炎症、出血が起きていた。不整形細胞が不明瞭な胞巣構造を形成し、不整形細胞の大部分と紡錘形細胞の一部は細胞質にメラニン色素を含有していた。両形態の腫瘍細胞には移行像が見られ、核は長円形から不整形で経度の大小不同を示し、明瞭な核小体と少数の分裂像が見られた。クロマチン結節豊富で経度のくびれを持つやや大型の不整円形核も少数見られた。
標本上では明らかな脈管浸潤は見られなかった。
送付標本上には明らかな悪性黒色腫の腫瘍細胞が見られた。
やはり、答えは同じでした。
一般的概念と臨床動向が違ってしまうことは、確かに存在します。
組織病理をもってしても、まだまだ探り切れない未知の部分はあるのでしょう。
但し、このようなケースはまれなケースと言えます。
何であれ、今でも定期的にレーザー治療と内服薬を取りに病院を訪れる元気そうなミッキーを見ることが
嬉しくてなりません。

この記事へのコメント