紹介で,Uさんの飼い犬ジョーくんが初診で来院しました。
ジョーくんの左頬には、クルミ位の大きさの腫瘤ができています。
この腫瘤は半年前からでき始めていて、徐々に大きくなってきましたが
気性が荒く、確認しようとすると咬みつきにきて、触らせなかったようです。
症例: 日本犬雑種 11歳 オス BW15.3kg ジョー
現症: 左側頬部に胡桃大の腫瘤あり。 一般状態は良好
この後の切除手術に進むにあたり、血液検査が必要ですが、
問題点はジョーの気性の荒さです。身体を触ろうとすると咬みつきに来ます。
飼い主のUさんもお手上げです。
そこで、ジョーを診察台に挙げる時、
首輪に付けたリードを短めに持ち一瞬で持ち上げ、
同時に首に腕を回して頭部をしっかりロックしてしまいました。
(このテクニックは看護師の経験と勇気が不可欠です。)
そして、暴れるジョーから手際よく採血をしました。
血液検査:全項目で正常範囲
そこでUさんと相談し、1週間後に切除手術を予定しました。

ジョーは、手術当日同様な方法で保定し、まず前処置薬(鎮静剤)を投与し、効果が出るまで
保定を続けました。(これも動物看護師の根気が必要です。)
その後、やや早めに麻酔導入剤(今回はケタラール)を血管から投与して、イソフルレン吸入麻酔で
維持する方法をとりました。
写真は、麻酔導入後気管チューブを挿管し、腫瘤の周囲を剃毛したところです。

この腫瘤は皮膚に発生し可動性があり、正常皮膚との境界が明瞭でした。
このような腫瘤は良性の場合が多いのですが、
腫瘍摘出では、正常組織を含めて余裕をもって切除するという原則があります。
今回もその原則に従い、腫瘤周囲1.5cmのラインで切開を行いました。

腫瘤は余裕を持って切除できました。

ジョーのように気性が荒い犬では、顔の抜糸は麻酔をかけなければ困難です。
そこで、吸収性縫合糸で埋没縫合を行い、合わせて単純結節縫合も行いました。
これは、自分で足で掻いてしまうことで傷口が開くことがないよう用心深く二重に縫合したのです。

切除した腫瘤です。
悪性度と発生由来組織を確認するために組織病理検査を実施しました。

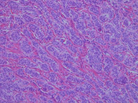
病理組織学的診断: 基底細胞腫
上皮性の良性腫瘍性病変が認められました。腫瘍境界は明瞭で完全に取り切れており、
悪性所見はありません。
基底細胞腫
×20
充実性腫瘤が形成され、表層には潰瘍が形成されて、
壊死物が付着しています。

×200
内部には膠原線維性結合織で区画された小結節状の増生巣が形成され、柵状の配列や小胞巣を形成して増生する腫瘍細胞は、ほぼ均一、大型紡錘形の細胞で、細胞質はやや少なく、クロマチンは豊富ですが、均一な卵円形核が細胞の中央に位置して、細胞異型性は軽度です。
10日後のジョーの検診時の写真です。
手術後の覚醒する前にE・カラーを付けて、傷が完治するまで取らないようにお願いしました。
縫合部の状態は腫れもなく良好です。
抗生剤の内服薬は餌に混ぜると食べてしまうとのことで、術後ケアはうまくいきました。
コメント:
動物病院では犬、猫、小動物を含め、時にこのように攻撃的な動物達と対峙せねばならないことがあります。
動物達はその状況から逃れたい一心で、歯を剥き、爪を出して攻撃態勢に入るのです。
人と同じように個性があり、」持って生まれた性格もあります。
品種差もあると思います。
ただ、多くは警戒心が強く、神経質な動物が多いのです。
そして、飼い主の方が無意識の中でこのような性格を強調させてしまう関わり方をしている
ケースもまま見られます。
飼い主の方が「正しいしつけの基本」を身に付けておくことは大切です。
動物のしつけが失敗に終われば、治せる病気も困難になるケースがあり得るのですから。
当院では子犬の「パピー教室」を毎月実施しています。
ジョー君のように困らせる犬をできるだけ減らすことが目的です。
そして、ペットと飼い主の双方の幸せにつながることと考えています。

この記事へのコメント